Científicos de la Universidad del Sur de California en Los Ángeles recolectaron resonancias magnéticas detalladas de pacientes que sufren de migrañas y entregaron imágenes de cómo estos dolores de cabeza se alojan en el cerebro.
En comparación con aquellos sin migraña, encontraron que estos pacientes tenían un mayor número de espacios perivasculares agrandados, lo que puede ser un signo de daño a los pequeños vasos sanguíneos del cerebro. Los hallazgos podrían algún día conducir a nuevos tratamientos para la afección crónica, dicen los investigadores.

La causa exacta de las migrañas no está clara, pero parece haber un fuerte componente genético, ya que las personas con antecedentes familiares de migrañas tienen más probabilidades de desarrollarlas.
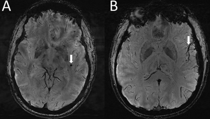
Con su nueva investigación, los científicos de la USC creen que son los primeros en observar los cerebros de los pacientes con migraña utilizando una forma relativamente novedosa de resonancia magnética de ultra alta resolución conocida como resonancia magnética 7T. Escanearon los cerebros de 20 personas con migrañas, 10 de las cuales tenían migrañas crónicas y 10 de las cuales tenían migrañas episódicas sin aura. A modo de comparación, también observaron los cerebros de cinco controles sanos emparejados en edad.
En ambos grupos de migraña, el equipo encontró un mayor número de espacios perivasculares agrandados, que son bolsas llenas de líquido ubicadas cerca de los vasos sanguíneos en ciertas partes del cuerpo, incluido el cerebro. Estos espacios eran más prominentes en el centro semioval, el área central del cerebro de la materia blanca. También encontraron que la presencia de estos espacios estaba relacionada con lesiones de sustancia blanca, aunque no hubo una diferencia significativa en la gravedad de las lesiones encontradas en personas con o sin migrañas. Los hallazgos se presentarán el miércoles en la reunión anual de la Sociedad Radiológica de América del Norte (RSNA).
“Los espacios perivasculares son parte de un sistema de eliminación de líquidos en el cerebro”, dijo Wilson Xu, candidato a MD en la Escuela de Medicina Keck de la USC, en unc omunicado proporcionado por la RNSA. “Estudiar cómo contribuyen a la migraña podría ayudarnos a comprender mejor las complejidades de cómo ocurren las migrañas”.